Открытый артериальный проток у собак
Признаки
Диагностика
Лечение
Открытый артериальный проток, или Боталлов проток (сосуд между аортой и легочной артерией) – один из наиболее распространенных врожденных пороков сердца у собак. В норме артериальный проток должен функционировать только на стадии развития плода. Он позволяет крови идти в обход легких, которые у плода находятся в сжатом состоянии. При отсутствии патологии сосуд закрывается через несколько часов после рождения щенка. В результате кровь проходит через легкие и насыщается кислородом. Легкие расправляются и начинают функционировать после первого вдоха.
У некоторых щенков артериальный проток остается открытым. Это приводит к серьезным нарушениям гемодинамики сердца, угрожающим жизни состояниям. Ведь часть обогащенной кислородом крови вместо того, чтобы идти к органам и тканям, сбрасывается в малый круг кровообращения. Это сопровождается возникновением застойных явлений в легких, растяжением левых отделов сердца. По мере прогрессирования патологии возможно развитие легочной гипертензии.
При отсутствии должного лечения примерно 65% щенков погибает в течение первого года жизни.
Предрасположены собаки пород: миниатюрный шнауцер, немецкая овчарка, бобтейл, ротвейлер, колли, шелти, йоркширский терьер,
Признаки
При прогрессировании заболевания развивается застойная сердечная недостаточность. К наиболее типичным симптомам относятся:
- кашель;
- одышка;
- снижение активности;
- непереносимость нагрузок;
- снижение аппетита;
- потеря веса, отставание в развитии.
Пациент может поступить в клинику с отеком легких (острой декомпенсацией сердечной деятельности).
При развитии легочной гипертензии (сброс крови происходит в обратную сторону, т.е. из легочной артерии в аорту) появляется:
- цианоз слизистых;
- обморочные приступы;
- летаргия;
- асцит.
Легочная гипертензия возникает по мере прогрессирования патологии, говорит о тяжелой стадии патологического процесса.
Диагностика
Врач проводит физикальное обследование пациента, подробно опрашивает владельца о состоянии собаки.
При аускультации сердца выявляется характерный громкий "машинный" шум, который позволяет поставить предварительный диагноз. Довольно часто его выявляют во время планового осмотра щенка, например, при вакцинации. В таком случае диагноз удается поставить до появления признаков застойной сердечной недостаточности и появления выраженных изменений в сердце.
При проведении рентгенографии грудной клетки можно обнаружить изменение силуэта сердца (увеличение в размере левых отделов, растяжение сосудов). Если наблюдается застойная сердечная недостаточность – появляется интерстициальный/альвеолярный легочной рисунок.
Эхокардиография сердца – наиболее точный метод в постановке диагноза. Врач визуализирует аномальный сосуд (Боталлов проток), который соединяет легочную артерию с аортой. Также характерна эксцентрическая гипертрофия сердца, увеличение левых отделов.
При проведении электрокардиографии диагностируются различные нарушения ритма, которые могут сопровождать патологию.
Лечение

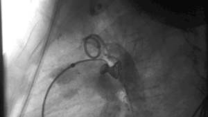
Пациентам с открытым артериальным протоком показана хирургическая операция. Лигирование сосуда проводится либо на открытой грудной клетке (более травматичная тактика лечения), либо с помощью специального катетера, который вводится в магистральные сосуды и позволяет установить внутри артериального протока специальный окклюдер Койла. Это наиболее распространенная минимально инвазивная техника. Результатом ее является полное перекрытие просвета Боталлова протока, предотвращение патологического сообщения между аортой и легочной артерией. Раскрытие грудной клетки при этом не требуется.
Если до проведения операции у пациента диагностировались выраженные изменения в сердце – показано назначение кардиологических препаратов даже в случае успешно проведенного хирургического вмешательства.
Прогноз зависит от того, насколько своевременно была проведена коррекция. Чем раньше лигируется аномальный сосуд – тем лучше прогноз.
Если у собаки развилась легочная гипертензия (тяжелая степень сердечной недостаточности) операцию проводить нельзя. Показано назначение поддерживающей терапии. Долгосрочный прогноз в этом случае плохой.
Варшавское шоссе, 125 стр.1. тел. 8 (499) 372-27-37
Почитайте отзывы о нашем ветеринарном центре.
Позвоните по номеру 8 (495) 241 64 95 и запишитесь на консультацию прямо сейчас.
(с) Ветеринарный центр лечения и реабилитации животных «Зooстатус».
Варшавское шоссе, 125 стр.1.

