Токсоплазмоз у кошек

Говоря о таком заболевании, как токсоплазмоз кошек, прежде всего хочется развеять огромное количество мифов, существующих вокруг этого заболевания.
«У Вас есть кошка? Немедленно избавьтесь! Токсоплазмоз!» - наверное, многие будущие мамочки слышали эти слова от врача женской консультации, а кого-то действительно суеверный страх подтолкнул к решению расстаться с животным.
Давайте разберемся, что же это за страшный зверь – токсоплазмоз, чем, кому и в каких условиях он опасен.
По-научному возбудитель называется Toxoplasma gondii. Относится к типу простейших, классу споровиков. Паразит живет внутри клеток различных органов и тканей. Поражает многие виды теплокровных животных (в том числе и человека), и обнаруживается даже у некоторых пресмыкающихся.
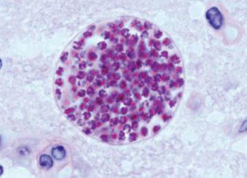
Развитие токсоплазм

Только в кишечнике представителей семейства кошачьих происходит половое размножение токсоплазм, и образуются ооцисты (Ооциста - покрытая плотной оболочкой оплодотворённая яйцеклетка. Содержимое ооцисты делится на множество подвижных зародышей - спорозоитов). Ооцисты с калом выделяются во внешнюю среду. В зависимости от температуры и влажности, во внешней среде они дозревают (на это им требуется от 2 до 7 дней) и становятся заразными. В почве такая ооциста может сохранять жизнеспособность до полутора лет.
Для заражения животное или человек должны проглотить зрелую ооцисту. Далее паразит выходит из ооцисты, проникает в слизистую кишечника, по лимфатическим и кровеносным сосудам разносится по организму, проникает в клетки, где быстро размножается делением. Далее новые паразиты разрушают пораженную клетку и проникают в другие клетки. Это острый период развития заболевания.
Часть токсоплазм «консервируется», не размножается, покрывается толстой оболочкой – в таком виде в тканях хозяина паразит может оставаться долгое время.
Заражение токсоплазмозом

Никто, кроме кошек (а также всех их кошачьих родственников, от рысей до бенгальских тигров), не выделяет токсоплазм во внешнюю среду. Поэтому именно кошек обычно и «назначают виновными» в заражении токсоплазмозом людей, хотя прямая передача паразита от кошки к человеку - не такое уж частое событие. Вероятность того, что ооциста попадет на слизистые оболочки человека с грязных рук, плохо обработанных овощей или от поцелуев с собакой, которая только что рылась в земле - гораздо выше.
Для того, чтобы стать источником токсоплазм, кошка должна заразиться сама – съесть ооцисту, выделенную другой больной кошкой, (например, облизать испачканную в зараженной земле лапу), или съесть мясо больного животного (зараженную мышь или птичку, сырую свинину, баранину или говядину). После заражения больная кошка выделяет ооцисты до 3-х недель, а потом снова становится безопасной. К сожалению, длительный иммунитет у кошек не 100%, поэтому через несколько месяцев кошка может снова заразиться токсоплазмозом и снова выделять ооцисты (правда, с меньшей интенсивностью, чем при первичном заражении). Домашней кошке, никогда не выходящей на улицу и питающейся исключительно готовыми кормами или термически обработанной пищей, не так-то просто заразиться токсоплазмозом. Человеку гораздо проще получить токсоплазм с плохо вымытыми овощами-ягодами с грядки или с не прожаренным мясом. Маленькие дети могут заразиться токсоплазмозом, играя в песочницах.
Симптомы токсоплазмоза. Опасность токсоплазмоза - реальная или мнимая?

У людей и животных с нормальным иммунитетом токсоплазмоз протекает часто бессимптомно, а сохранение в организме «законсервированных» токсоплазм препятствует повторному заражению. Большинство здоровых взрослых людей встречались с токсоплазмозом, болели им (сами того не подозревая) и выработали иммунный ответ.
Анализ на наличие иммунитета к токсоплазмозу входит в программу обязательного обследования беременных (скриннинговый анализ на хронические инфекции - TORCH. Большая часть обследуемых женщин иммунны к токсоплазмозу.
Первичное заражение токсоплазмозом беременной женщины (особенно на ранних сроках) действительно опасно для плода. Т.к. паразит избирательно поражает быстро делящиеся клетки, то возможно прерывание беременности или рождение ребенка с серьезными аномалиями развития.
Однако, реальный риск заражения от домашней кошки сильно преувеличен. Как уже упоминалось выше, вероятность заражения при попадании ооцист на слизистые из-за контакта с землей или сырым мясом (например, если пробовать фарш на вкус) гораздо больше, чем при контакте с кошачьими фекалиями. К тому же, в кошачьих экскрментах ооцисты, даже если они выделяются, приобретают инвазивность (заразность) не сразу, а только после нескольких суток во внешней среде, таким образом своевременная уборка лотка и соблюдение элементарной гигиены - вполне надежная профилактика токсоплазмоза.
Также токсоплазмоз опасен для лиц с очень сильно сниженным иммунитетом (онкобольные, перенесшие химиотерапию, больные СПИД и т.д.).
Острое течение болезни может сопровождаться значительным повышением температуры, рвотой и поносом, неврологической симптоматикой, поражением глаз, увеличением лимфоузлов, увеличением селезенки, поражением печени, скелетной и сердечной мускулатуры.
Диагностика
Для подтверждения диагноза применяется серологическое исследование крови, причем для животных с выявленными антителами к токсоплазмозу исследование крови проводится неоднократно, через определенные промежутки времени.
Лечение токсоплазмоза
Для лечения токсоплазмоза используются антибиотики, к которым паразит чувствителен. Курс терапии достаточно длительный, от 3 недель.
Почитайте отзывы о нашем ветеринарном центре.
Позвоните по номеру 8 (495) 241 64 95 и запишитесь на консультацию прямо сейчас.
(с) Ветеринарный центр лечения и реабилитации животных «Зooстатус».
Варшавское шоссе, 125 стр.1.

