Эктопия мочеточников у собак

Симптомы
Диагностика
Лечение
Прогноз
Профилактика
Мочеточники – трубы, которые обычно несут мочу от почек до мочевого пузыря. Каждый мочеточник заканчивается в определенной части мочевого пузыря, который собирает мочу и в конечном счете выводит ее через уретру. Эктопические мочеточники заканчиваются в неправильном месте, поэтому моча сочится из уретры постоянно или периодически, в зависимости от того, где заканчивается эктопический мочеточник. Собаки с эктопией мочеточников рождаются с этим нарушением; это – развивающийся дефект, который, вероятно, является наследственным. У самок вероятность родиться с эктопическими мочеточниками выше чем у самцов. Трудно сказать, насколько это нарушение дискомфортно для собаки. Они даже могут не знать, что
Причины
У определенных пород есть предрасположенность к рождению с эктопическими мочеточниками. К ним относятся: золотистый ретривер, бульдог,
Распространение патологии позволяет утверждать, что дефект имеет генетический компонент, а не образуется случайно во время перинатального развития. К сожалению, тип наследования не определен. Суки с эктопическими мочеточниками могут родить помет, в котором ни один из щенков не имеет данного дефекта – или, по крайней мере, ни один из них не показывает периодического или постоянного недержания, связанного с этой патологией. Недостаток витаминов у сук во время беременности также может приводить к развитию эктопических мочеточников у щенков.
Симптомы
Симптомы могут варьироваться от средних до тяжелых. У самцов данное заболевание может протекать бессимптомно и часто диагностируется уже в зрелом возрасте. Считается, что это происходит
Собаки с одним эктопическим мочеточником могут продолжать писать, как обычно.
В большинстве случаев эктопия мочеточников идентифицируется к возрасту 6 месяцев.
Когда есть клинические признаки эктопии мочеточников, владельцы могут заметить следующее:
- Недержание мочи (периодическое или постоянное; обычно означает двустороннюю патологию).
- Постоянное подтекание мочи (особенно у молодых животных).
- Влажность вокруг наружных половых органов.
- Мутная моча (пиурия).
- Неприятный запах от мочи (при инфекции мочевыводящих путей).
- Краснота, воспаление и раздражение кожи вокруг вульвы и влагалища у сук.
Трудно сказать, как данное состояние влияет на жизнь собаки. Возможно, что она вообще не будет знать о наличии патологии. Однако, если возникнет жжение при мочеиспускании или инфекция мочеполовых путей, то собака будет испытывать весьма значительный дискомфорт пока не будет произведено хирургическое вмешательство.
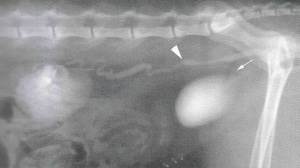
Диагностика

Для правильного диагноза необходим детальный сбор анамнеза и клинический осмотр. Также на начальном этапе обычно берутся анализы мочи и крови. Если у собаки нет параллельной почечной инфекции, инфекции мочевого пузыря или другой болезни мочевых путей, результаты этих предварительных анализов должны быть нормальными. Моча может дополнительно исследоваться, чтобы исключить бактериальную инфекцию, которая, к сожалению, весьма распространена у собак с эктопией мочеточников. Для взятия образца мочи для исследования чувствительности бактерий к антибиотикам применяют цистоцентез. Это – довольно безопасная процедура, при которой стерильная игла вводится через брюшную стенку собаки в мочевой пузырь, и при помощи шприца извлекаетя необходимое количество мочи. Таким образом, вероятность случайного загрязнения образца мочи сводится к минимуму.
Более детальное исследование может включать в себя ультразвуковое исследование, чтобы оценить анатомическую целостность структур мочевых путей. При квалифицированном исполнении, эта процедура позволяет довольно точно поставить диагноз “эктопия мочеточников”.
Рентген с контрастом также может использоваться, но такая процедура более инвазивна. В некоторых специализированных ветеринарных клиниках может быть доступна компьютерная томография. Снимки компьютерной томографии позволяют поставить очень точный диагноз. Другие методы, такие как уретроцистоскопия, влагалищная уретрография и выделительная урография, могут помочь визуализировать анатомические патологии и места выходов мочеточников в мочевом пузыре, уретре, влагалище или
Лечение
Основная цель лечения эктопических мочеточников состоит в том, чтобы моча могла собираться в мочевом пузыре и затем выходить через уретру, как обычно. Конечно, другие цели состоят в том, чтобы облегчить дискомфорт собаки и устранить или по крайней мере уменьшить расстройство владельца, вызванное недержанием мочи у животного.
Лечение, как правило, хирургическое. Оно включает перенаправление мочеточника и закрепление его в надлежащей позиции. Очевидно, что для корректировки хронического недержания необходимо, чтобы путь от почек к мочевому пузырю заканчивался именно в мочевом пузыре.
Многие ветеринары рекомендуют, чтобы щенков женского пола с данным нарушением не стерилизовали до их первой течки; иногда данное состояние решается самостоятельно под воздействием гормонов.
Не существует реалистичных методов лекарственного лечения данной проблемы. Даже при хирургическом вмешательстве недержание может сохраниться, в зависимости от состояния уретрального сфинктера, который играет большую роль в произвольном мочеиспускании или задержке мочи. Есть несколько лекарств, которые могут помочь уменьшить недержание, в зависимости от его причины. Например, антибиотики могут помочь убрать инфекцию мочевых путей, которая может способствовать недержанию. При наличии инфекции очень важно вылечить ее до хирургической операции. Однако это не будет «лечение» самого эктопического мочеточника.
Если есть тяжелые осложнения, такие как инфицированная или поврежденная почка, возможно потребуется удаление почки и мочеточника. В зависимости от местоположения патологии, хирургические техники ее лечения могу быть весьма сложными и деликатными. Большинство ветеринаров редко сталкивается с собаками с данной патологией и направят владельцев животных к
Прогноз
Хирургическое исправление эктопических мочеточников успешно примерно в 50% случаев. Недержание продолжается приблизительно у 50% животных, но обычно в меньших объемах, чем до операции. Лишь небольшое количество собак не показывают никаких улучшений после операции.
Профилактика
Нет никакого надежного способа предотвратить эктопию мочеточников у домашних собак. Некоторые эксперты предлагают ограничить разведение собак с данным дефектом. Однако, пока наследственный компонент и/или другие причины эктопии мочеточников не изучены до конца, заводчикам будет трудно устранить эту проблему из генофонда предрасположенных пород.
Ветеринар может посоветовать кастрировать или стерилизовать животных с данным дефектом.
Варшавское шоссе, 125 стр.1. тел. 8 (499) 372-27-37
Почитайте отзывы о нашем ветеринарном центре.
Позвоните по номеру 8 (495) 241 64 95 и запишитесь на консультацию прямо сейчас.
(с) Ветеринарный центр лечения и реабилитации животных «Зooстатус».
Варшавское шоссе, 125 стр.1.

