Метастазы в легких у собак и кошек

Постановка диагноза
Лечение
Уход
Профилактика
Метастазы – это мелкие новообразования, распространяющиеся в результате злокачественного онкологического заболевания от своего первоначального очага на другие участки организма. Чаще и быстрее всего поражаются легкие и лимфатические узлы, но метастазы могут возникнуть практически в любом органе, мигрируя либо через кровоток, либо через лимфатическую систему.
Симптомы метастазов в легких
Заболеванию чаще подвержены возрастные, не стерилизованные животные. На начальном этапе данное заболевание может протекать бессимптомно, однако, спустя некоторое время у животного могут появиться:
Животные, у которых появились уплотнения и опухоли на молочных железах или увеличились поверхностные лимфоузлы, должны быть обследованы на наличие метастазов в легких.
Постановка диагноза

Диагностика метастазов:
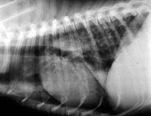
- Для определения наличия метастазов в легких проводится общий осмотр и аускультация животного, а также рентгеновский снимок грудной клетки. Учитывая, что метастазы не появляются сами по себе, а являются следствием злокачественной опухоли, проводится полная диагностика и полное обследование кошки или собаки для поиска первоначального очага онкологического заболевания и определения его типа.
- Проводится общий клинический и биохимический анализы крови, анализ мочи, УЗИ брюшной полости.
- При увеличении поверхностных лимфоузлов производится пункция лимфоузла с аспирацией содержимого для цитологического анализа.
- Может быть проведена биопсия опухоли.
Лечение
Химиотерапия или операционное удаление злокачественной опухоли может замедлить прогрессирование онкологического заболевания. Однако, при обнаружении метастазов в легких на момент постановки диагноза, прогноз становится неблагоприятным, так как пораженная легочная ткань не поддается лечению, что приводит к метастатическому плевриту и смерти животного.
Уход
Поддерживающий уход, который рекомендуется животным с метастазами в легких, состоит из качественного рациона, дополнительного парентерального питания (при анорексии), инфузионной терапии. Могут также применяться антибиотики для лечения вторичных инфекций и обезболивающие препараты.
Профилактика
Стерилизация снижает риск онкологических заболеваний у животных, поэтому рекомендуется стерилизовать в 7 месяцев всех животных, которых не планируется использовать в разведении.
Кошки и собаки старше
Животные, у которых появились образования на молочных железах или увеличение лимфоузлов, должны обязательно обследоваться у ветеринарного специалиста, должен быть проведен рентгеновский снимок легких для исключения метастазов и комплексная диагностика для исключения онкологических заболеваний.
Варшавское шоссе, 125 стр.1. тел. 8 (499) 372-27-37
Почитайте отзывы о нашем ветеринарном центре.
Позвоните по номеру 8 (495) 241 64 95 и запишитесь на консультацию прямо сейчас.
(с) Ветеринарный центр лечения и реабилитации животных «Зooстатус».
Варшавское шоссе, 125 стр.1.

