Тест на дисплазию у собак
Диагностика дисплазии тазобедренного сустава у собак проводится на основе рентгенографического исследования. Показания к проведению теста на дисплазию делятся на три группы:
- В случае обнаружения у питомца клинических симптомов дисплазии – болезненности (проявляется в хромоте, как постоянной, так и перемежающейся, боязливом отношении к подъему по лестницам, и тд), крепитации в суставе. Проявляются такие симптомы практически в любом возрасте, от 3 месяцев до
8-9 лет. В раннем возрасте может наблюдаться дисконгруэнтность суства (несоответсвие формы суставной впадины и головки бедра), а в более старшем - признаки остеоартрита. - Для ряда пород собак все племенные животные для получения допуска в разведение обязаны пройти сертификацию РКФ на дисплазию (либо международную сертификацию). Тест, признающийся официальным документом, проводится в возрасте от 18 месяцев для гигантских пород, и от 12 месяцев для всех остальных.
- В качестве профилактической меры для всех владельцев пород группы риска, в первую очередь всех гигантских пород. Для этих пород рекомендуется также делать тесты на дисплазию локтей.
Диагностика дисплазии обычно осуществляется тем же методом, по которому выдается сертификат РКФ. Чтобы получить как сертификат, так и достоверный диагноз, снимки должны строго соответствовать ряду требований:
- собака укладывается на спину, таз помещается в центре, тазовые конечности вытягиваются параллельно;
- рентгенограмма должна полностью отображать тень таза, изображение костей должно быть полностью симметричным, любое скручивание исказит картину;
- качество снимка должно позволять четко рассмотреть края костных структур сустава, в том числе головку сустава и вертлюжную впадину;
- на снимке, предоставляемом для оценки степени дисплазии в РКФ также должна быть нанесена информация о питомце (дата рождения, кличка, номер родословной, порода, и тд).
Тест на дисплазию проводится строго под седацией. Если Вы беспокоитесь о том, как перенесет наркоз ваш любимец, рекомендуем предварительно посетить кардиолога и анестезиолога. Без наркоза невозможно удержать животное неподвижно в правильном положении, даже если собака очень послушна и спокойна, она будет напрягать мускулатуру и связки тазовой области, что скажется на взаимном расположении суставных поверхностей, и, соответственно, на достоверности результата снимка. Для собак гигантских пород попытка уложить в правильной позиции без седации может привести к подвывиху ТБС.
Правильность выполнения рентгенограммы и корректность укладки крайне важны для диагностики дисплазии и прогнозирования развития отдаленных последствий.
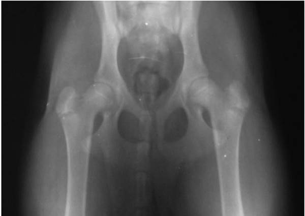
Рентгенограмма тазобедренных суставов выглядит следующим образом:

По снимку определяется ряд параметров. В зависимости от их величины, выставляются баллы, в конце суммируются, по сумме баллов определяется диагноз. Подсчет ведется по следующей системе:
| Сумма баллов | Степень дисплазии | Интерпретация |
|---|---|---|
| 0-2 | A | Отсутствие дисплазии |
| 3-6 | B | Пограничный случай, подозрение |
| 7-9 | C1 | Легкая степень дисплазии ТБС |
| 10-12 | C2 | Легкая степень дисплазии ТБС (рекомендуется исключение из разведения) |
| 13-18 | D | Средняя степень, выбраковка |
| >18 | E | Тяжелая степень, выбраковка |
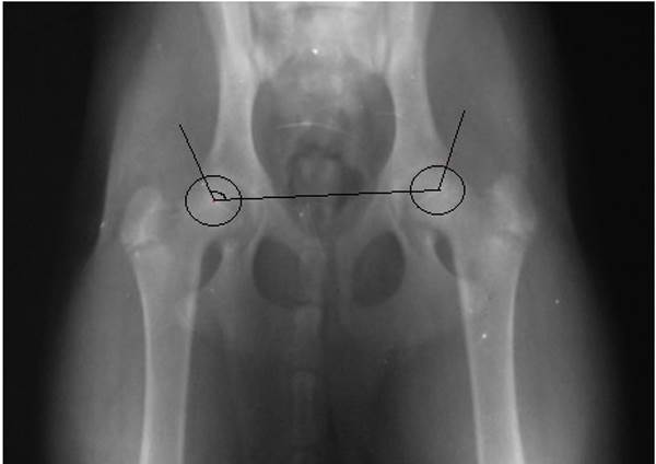
Параметров, по которым подсчитываются баллы, в классической методике 6, это система Flukiger. Каждый параметр оценивается от 0 до 5 баллов. В основе диагностики лежит определение ряда углов и соотношений в суставе, например, как на рисунке ниже:

1 параметр – угол Норберга, обозначенный на рисунке выше. Параметр оценивается в 0 баллов, если угол Норберга больше или равен 105?.
2 параметр – индекс внедрения головки бедра во впадину. Определяет степень совпадения головки бедра и впадины. Параметр оценивается в 0 баллов при отношении покрытия вертлюжной головки к радиусу бедра, равном 1.
3 параметр – тангенциальный угол и состояние
4 параметр – величина суставной щели, которая характеризует распределение нагрузки на вертлюжную впадину.
5 параметр – форма головки и изменения в строении бедренной кости.
6 параметр – состояние капсулы сустава. В норме капсула выстлана хрящевой тканью, не являющейся рентгеноконтрастной. Однако если есть первичные нарушения в суставе, они проявляются в виде остеоартроза, образуя видимые на рентгене уплотнения.
Существует ряд различных международных систем оценки параметров дисплазии, их сравнение с российскими стандартами можно увидеть в сводной таблице.
| Состояние ТБС | РКФ (Россия) | OFA (США) | FCI (Европа) | BVA (Великобритания, Австралия) | SV (Германия) | Швеция, Финляндия | KUSA (Южная Африка) |
|---|---|---|---|---|---|---|---|
| Отличное | A | Excellent | A1 | 0-4 (no > 3/hip) | Normal | A | 0 |
| Good | A2 | 5-10 (no > 6/hip) | B | ||||
| Хорошее | B | Fair | B1 | 11 – 18 | UA | ||
| Borderline | B2 | 19 – 25 | Fast Normal | ||||
| Удовлетворительное | C | Mild | C | 26 – 35 | Noch Zugelassen | C | 1 |
| Средняя степень дисплазии | D | Moderate | D | 36 – 50 | Mittlere | D | 2 |
| Тяжелая степень дисплазии | E | Severe | E | 51 – 106 | Schwere | E | 3 |
Для определения более подробной степени дисплазии, как, например, в FCI, может возникнуть необходимость проведения рентгенографического исследования в положении, при котором собака также лежит на спине, но тазовые конечности сгибаются и разводятся в стороны. Иногда также необходимо сделать снимок в боковой проекции.
Важно понимать, что дисплазия - это не болезнь, а состояние. Дисплазия тазобедренных суставов, как генетически обусловленная особенность формирования суставных поверхностей, может как вызывать, так и не вызывать клинические симптомы (боль, хромоту, нарушение обмускуления). Это в значительной степени зависит от образа жизни, массы тела, особенностей физических нагрузок конкретной собаки.
Существенным недостатком описанного метода диагностики и оценки степеней ДТБС является тот факт, что тест даже в "профилактических" целях проводится в возрасте, когда однозначная хирургическая коррекция дисплазии большинством эффективных методов уже недоступна, а у собак с сильно выраженными степенями дисплазии и вовсе наблюдаются дегенеративные изменения в суставе (остеоартрит). Таким образом, "традиционный" метод диагностики при корректном выполнении подходит для оздоровления поголовья и исключения из разведения собак с выраженными степенями ДТБС, однако имеет относительно небольшую ценность для благополучия конкретной собаки с патологическими суставами и выбора стратегии лечения.
Дисплазия в клинической форме может проявиться уже в возрасте
В последние годы появляются новые, прогностические методы определения дисплазии, позволяющие прогнозировать развитие отклонений начиная с возраста 7-16 недель.
Ортопеды ветеринарного центра Зоостатус широко внедряют в практику метод ранней диагностики дисплазии тазобедренного сустава у собак PennHip.
История метода началась в 1983г, когда д-р Гейл Смит в школе ветеринарной медицины при Университете Пенсильвании задумал и разработал новый научный метод для ранней диагностики дисплазии тазобедренного сустава у собак, основанный на обширных статистических данных.
Исследования в его лаборатории доказали, что данный диагностический метод позволяет оценить предрасположенность собак к диссплазии ТБС с 16 недельного возраста. В 1993г создан научный кооператив PennHip.
При оценки вероятности развития ДТБС у щенков раннего возраста методом PennHip используется оценка трех рентгенологических исследований: прямая регнтгенограмма таза с вытянутыми конечностями (положение аналогично описанному выше); компрессионная радиограмма (с головками бедренной кости, максимально смещенными в сторону вертлужной впадины) и дистракционная рентгенограмма (головки бедренной кости, напротив, максимально "выводятся" из вертлужной впадины).
Требования к рентгенограммам методом PennHip:
- седация (полное расслабление животного)
- таз целиком на рентгенограмме во всех проекциях
- оба подвздошных крыла и запирательные отверстия на изображении визуализируются идеально одинакового размера
- коленные чашечки распологаются на средней линии бедренной кости между сезамовидными костями
- бедренные кости параллельны друг другу, параллельны в саггитальной плоскости позвоночному столбу, параллельны поверхности стола
Использование метода требует корректности укладки; дополнительных блоков/удерживателей для формирования правильной позы, непосредственного участия квалифицированного ортопеда/рентгенолога в исселедовании для правильной фиксации.
Для проведения прогностического анализа определяют индекс дистракции – ИД.
Метод позволяет прогнозировать развитие ДТБС с крайне высокой (более 95%) точностью у бессимптомных щенков в возрасте 4 - 5 мес; что может быть актуально как предпродажная диагностика у перспективных племенных или рабочих собак; как метод профилактики остеоартрита. В ряде случаев по результатам исследования могут быть показаны ранние (от 4мес - симфизиодез до корригирующих остеотомий - 7-12мес) корректирующие операции, которые предотвратят развитие диспластических изменений и значительно улучшат качество жизни и пользовательские качества животного, в противном случае, обреченного на боль и хромоту в старшем возрасте.
Варшавское шоссе, 125 стр.1. тел. 8 (499) 372-27-37
Почитайте отзывы о нашем ветеринарном центре.
Позвоните по номеру 8 (495) 241 64 95 и запишитесь на консультацию прямо сейчас.
(с) Ветеринарный центр лечения и реабилитации животных «Зooстатус».
Варшавское шоссе, 125 стр.1.

