Определение срока вязки у сук

Фертильный период – это период, когда собака может забеременеть, соответственно, вязку оптимально проводить именно в этот промежуток времени.
Фертильный период, вопреки распространенному заблуждению – вовсе не синоним слова «течка».
Большинство собаковладельцев знает, что течка (период видимой половой активности у собак) длится в среднем 21 день.
Стандартная практика состоит в проведении двух встреч с кобелем (вязок), обычно на 12 и 14 день.
В целом, такая практика часто дает хорошие результаты, то есть беременность наступает.
Определение же фертильного периода требуется у тех животных, у которых стандартная схема не работает (беременность не наступает), либо вязка чрезвычайно важна (именно эта конкретная с конкретным кобелем).
Для того, чтобы объяснить, как происходит определение наиболее благоприятного периода для вязки, необходимо немного разобраться в физиологии половой системы собаки.
Репродуктологи
разделяют течку на три фазы: фаза предтечки (предэструса), собственно течки (эструса) и постэстральную фазу.
Смысл всех этих сложностей состоит вот в чем: во время предтечки у суки в яичнике созревает фолликул (и обычно не один) – пузырек , состоящий из верхнего слоя, выделяющего эстрогены и нижнего, выделяющего прогестерон (гестаген). Всё это – половые гормоны, подготавливающие матку и влагалище к принятию сперматозоидов, имплантации и развитию плодов. А в серединке этого пузырька ждет своего часа яйцеклетка.
Во время предтечки появляются кровянистые выделения, наблюдается припухание петли и характерное отведение хвоста вбок при встрече с кобелем. Наблюдается активный интерес со стороны кобелей.
Следующим пунктом фолликул (пузырек с яйцеклеткой) должен разорваться под действием гормона гипофиза. И разрыв этот может произойти у одной собаки на второй день после начала течки, а у другой – на 20й. Вышедшая из фолликула яйцеклетка созревает в половых путях два дня, затем она готова к оплодотворению.
Именно этот момент называется репродуктивным периодом, а на языке репродуктологов: овуляцией или собственно эструсом.
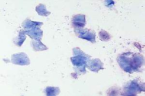
Человечество изобрело много разнообразных способов выявить предовуляционную и овуляционную фазу: ориентировались на «желание» суки (охота), на концентрацию вагинальной слизи (должна образовывать на стекле «листья папоротника»), однако наиболее простым и надежным способом выяснить: созрел ли фолликул является вагинальная цитология (мазок из петли).
В таком мазке
оцениваются специфические изменения эпителия, происходящие под воздействием эстрогенов.
Таким образом, сдав мазок (а чаще серию мазков), мы можем выявить высокую концентрацию эстрогенов, говорящую о созревании фолликула.
Допустим, фолликул созрел и мы об этом узнали. Как узнать о его разрыве и собственно, выходе яйцеклетки?
Вспомним о «донышке» фолликула, продуцирующем гормон прогестерон. После разрыва пузырька донце начинает работать с двойным усердием, превращаясь в желтое тело беременности . Соответственно, скачкообразное повышение прогестерона в крови будет нам точно говорить о том, что фолликул не просто созрел, но и лопнул и, собственно, пора проводить вязку.
Теоретически, нужную информацию можно получить и с помощью серии анализов крови на прогестерон. Минусом такого подхода является необходимость брать у собаки кровь из вены не реже, чем раз в два дня.
Поэтому стандартная стратегия выявления оптимального момента для вязки следующая: первый мазок из петли сдают на третий день появления кровянистых выделений. Таким образом проверяют вероятность ранней овуляции. Дальше, если мазок «базальный», то есть количество эстрогенов низкое, проводят повторные мазки, обычно через
Определив достоверно фертильный период мы не только повышаем вероятность зачатия, но также исключаем ановуляторные течки , более точно знаем предполагаемую дату родов.
Важно помнить, что, согласно данным зарубежной статистики, 80% «бесплодия» связано с неверно выбранным днем вязки.
Варшавское шоссе, 125 стр.1. тел. 8 (499) 372-27-37
Почитайте отзывы о нашем ветеринарном центре.
Позвоните по номеру 8 (495) 241 64 95 и запишитесь на консультацию прямо сейчас.
(с) Ветеринарный центр лечения и реабилитации животных «Зooстатус».
Варшавское шоссе, 125 стр.1.

